温馨提示:由于篇幅原因,很多内容不能详尽,如果您或者您的家人有疑问,可点击此处进行咨询,或直接拨打电话:0513-89069120。
1月19日,44岁腰椎滑脱合并席汉氏综合症患者尹某,在南通中山骨科医院成功完成腰椎滑脱植骨融合内固定术。这是我院接收的首例罕见席汉氏综合症患者,而本次手术的成功也意味着本地合并席汉氏综合症的骨病患者将不必前往外省进行相关的手术治疗。<<骨科医生在线解答病情
今年44岁的患者尹女士,10余年前不慎扭伤腰部,即感腰部疼痛、活动受限,休息1周后症状消失,半年后无明显诱因出现左下肢疼痛,症状逐渐加重,2年前于当地医院就诊,给予保守治疗及中频电脉冲等康复治疗,症状未见明显好转。
尹女士因“无明显诱因出现左下肢疼痛加重,步行20米即感症状加重,卧床休息症状减轻”于某日到我院就诊,门诊以“并腰椎滑脱(L3\4\5)”收入院。患者自述有席汉氏综合症病史20余年,自用甲状腺素片、强的松片等药物口服治疗,病情平稳,时有四肢无力、厌食等症状。<<我的病情需要手术治疗吗?点击咨询
席汉氏综合征临床上十分罕见,主要发生于产后大出血休克引起垂体功能低下所致。此病起病缓慢,初期多表现为低血糖、低基础代谢、低钠、低氯等,临床上容易误诊。由于此类患者长期使用激素治疗,发生并发症几率会更大,手术的创伤、麻醉及镇静药物的使用均有可能加重其症状,临床对此病手术麻醉常因准备不足而诱发危象。因此如何解决两者间的矛盾,成为此类病例治疗成功的关键。
患者因脑垂体甲状腺激素分泌水平过低,麻醉及手术过程会伴有麻醉代谢异常、血压血糖不问等风险,严重时甚至会有呼吸骤停、器官衰竭等高危风险,进而威胁生命导致死亡。因此如何解决两者间的矛盾,成为此类病例治疗成功的关键。
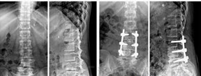
自尹某入院以来,我院做了充分的术前准备。专家多次会诊讨论治疗方案,调节患者激素水平。在与患者家属进行充分沟通并获得理解的基础上,为其确定了手术方案。待尹某激素水平达到预期峰值,身体各项机能指标稳定,1月19日上午,我院脊柱科主任以及麻醉科各位同仁协同合作,严密监测,为患者实施腰椎内路椎体复位椎管减压植骨融合内固定术,手术非常顺利。

术后随访,患者全身体质恢复良好,疗效满意。席汉氏综合症病例在临床上已越来越少,此病例的成功救治不仅体现了南通中山骨科医院在实施腰椎滑脱植骨融合内固定术合并全身系统性危重疾病治疗中的实力,更体现了南通中山骨科医院科室间团结合作、以高度的责任感履行医者神圣的职责。<<手术可以申请医保吗?报销比例是多少?点击在线咨询
免费电话:0513-89069120
门诊时间(无假日医院):08:00-17:00
医院地址:南通市港闸区江海大道与国强路交叉口- 图片来源于网络,其版权归原作者所有,仅供参考学习交流






连线专家












出现症状,正欲就诊
刚刚确诊,还未治疗
想先试试,保守治疗
保守治疗,效果欠佳
长期治疗,间接发作
更多问题,咨询一下